
About Advanced Dental Care of Hutto
We are committed to providing quality healthcare to families in Hutto and treat patients of all ages. Our dentist in Hutto provide comprehensive solutions for our patients' oral health needs. Believing in the importance of listening to our patients, we take the time to truly understand each person's needs, goals, and lifestyle. By understanding our patients' objectives, we can provide solutions that will improve their health while transforming their smile into a bright and beautiful smile.
Advanced Dental Care of Hutto is located at 401 Ed Schmidt Boulevard, Suite 100, Hutto, TX 78634. We are currently accepting new patients, and you can schedule an appointment by calling (512) 846-2011.
Exceptional Care for Every Dental Need
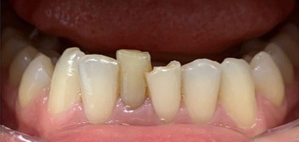
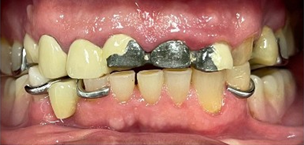
Smile Transformations
Explore our collection of real patient transformations and see the stunning results we've achieved at Advanced Dental Care of Hutto.
Advanced Technology for Smarter, Faster Dental Care




























